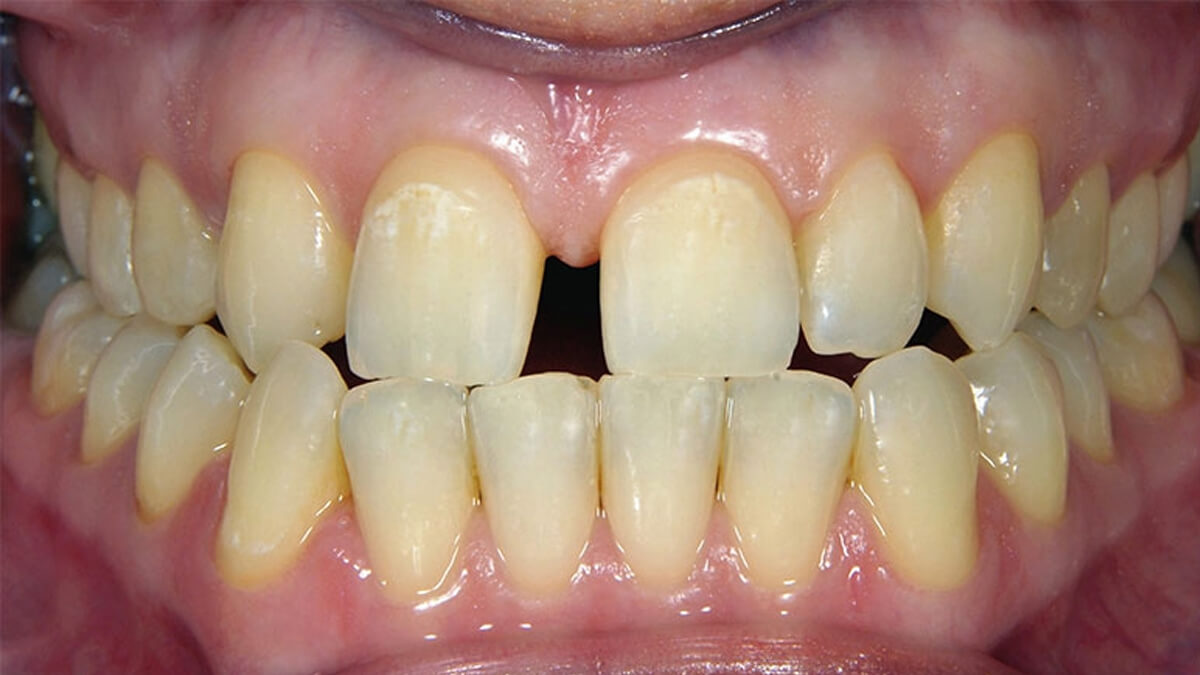
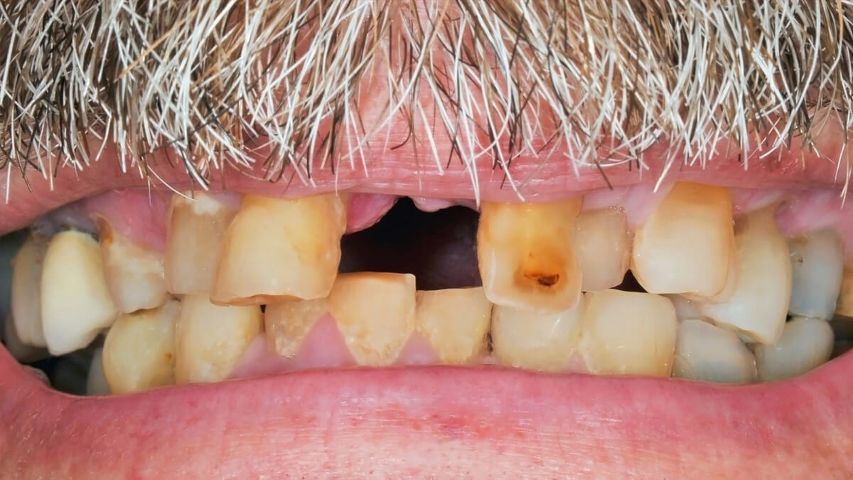
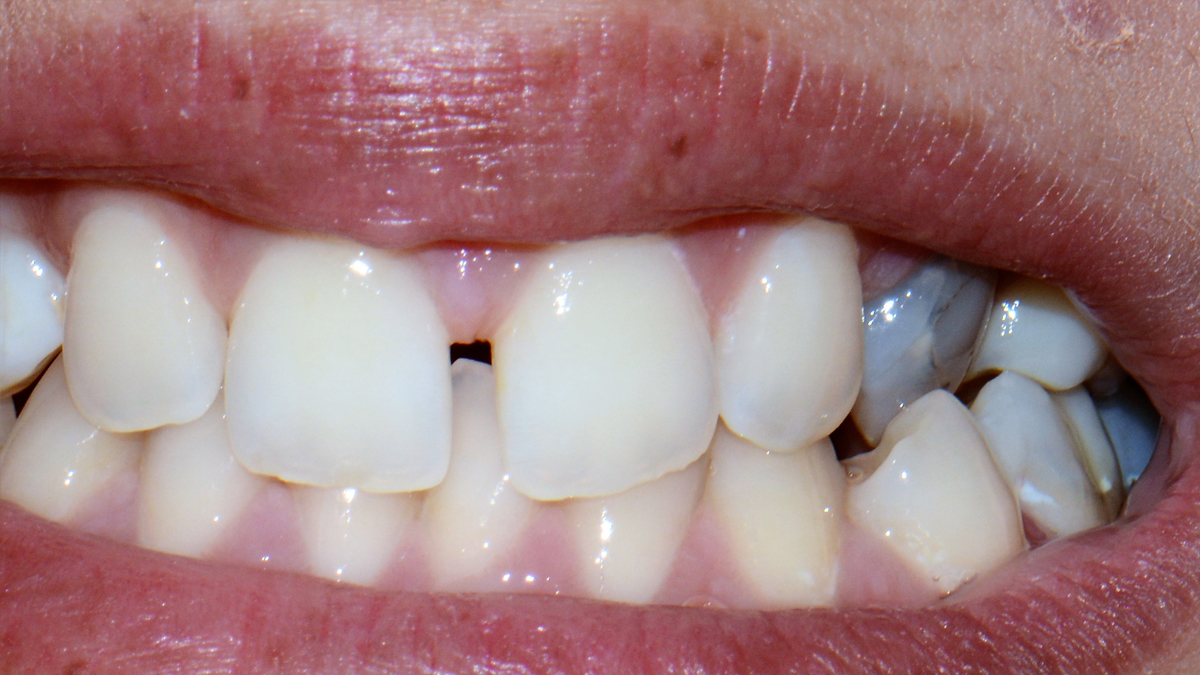
Sajnos a nem megfelelő szájhigiénia és-vagy nem megfelelő táplálkozás fogszuvasodás kialakulásához vezethet. Ennek terápiája a fertőzött, szuvas foganyag eltávolításával, majd a fog tömőanyaggal vagy betéttel való helyreállításával lehetséges.
Hogyan alakul ki a fogszuvasodás?
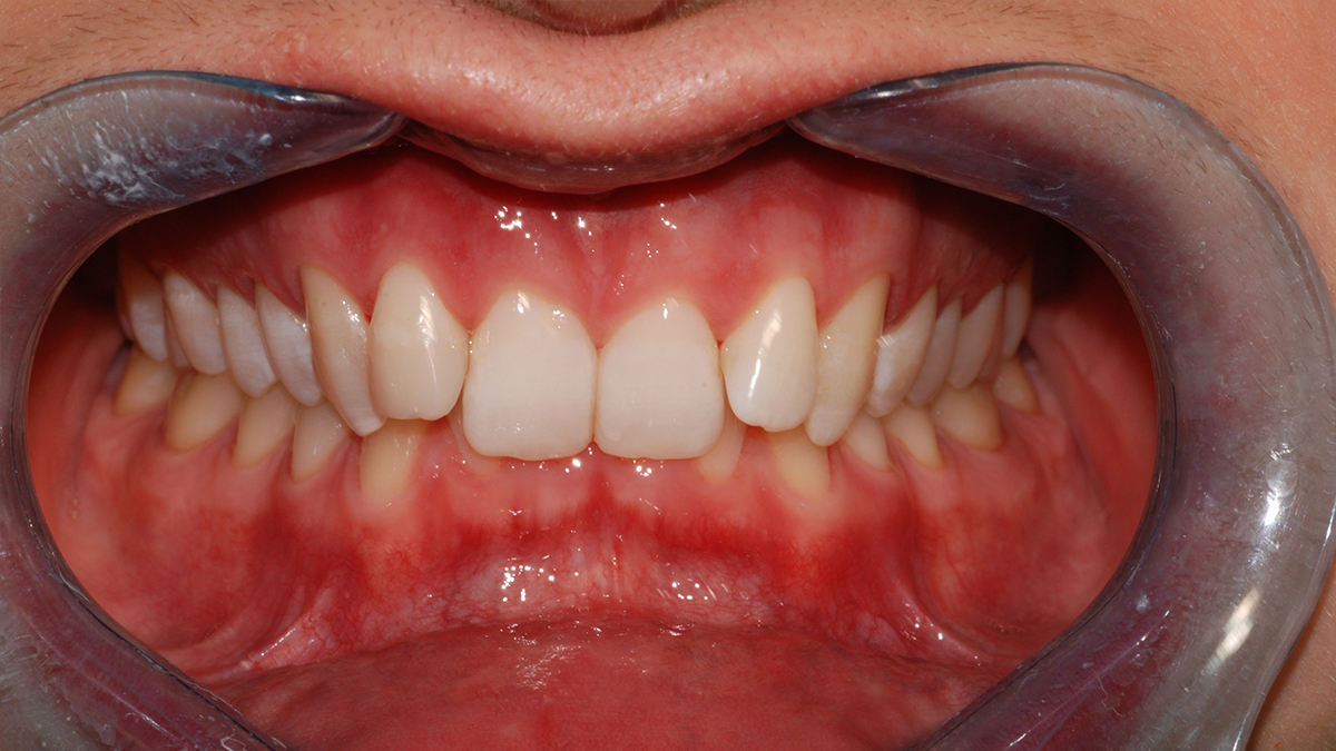
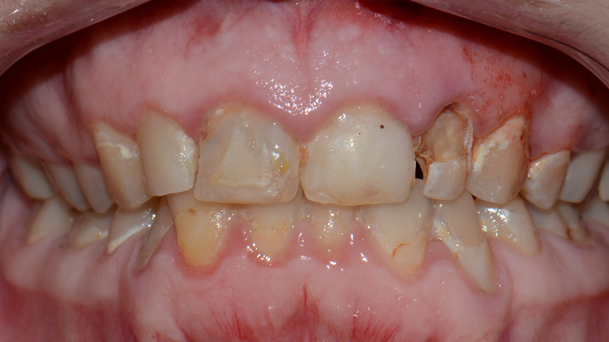
fogszuvasodás kezeléseSzájüregünkben, a fogak felszínén, az ínyen, a nyelvünkön számos baktérium található, melyek fontos szerepet játszanak a biológiai egyensúly fenntartásában. Néhány baktérium azonban a táplálkozásunk során elfogyasztott szénhidrátot képes lebontani úgy, hogy közben sav keletkezik. Ennek következménye, hogy étkezés után csökken szájüregünk pH-értéke, azaz savas közeg alakul ki, amelyet nyálunk semlegesítő hatása egy idő után helyreállít. Abban az esetben, ha gyakran fogyasztunk szénhidráttartalmú ételeket, nincs idő, hogy a savak semlegesítődjenek, ezért hosszan tartó alacsony pH-jú időszakok alakulnak ki, s elkezdődik a fogszuvasodás.
Fogaink külső felszínét szervezetünk legkeményebb anyaga, a zománc borítja. A zománc 98%-át szervetlen anyagok alkotják, amelyek savhatásra képesek kioldódni. Ez a magyarázata annak, hogy egy ilyen kemény anyag képes meggyengülni, sőt üreg képződhet pusztán baktériumok és szénhidrát hatására. Abban az esetben, ha a kórokozók átjutottak a zománc rétegen, a fogszuvasodás terjedése felgyorsulhat , ilyenkor általában már panaszos a fog, hidegre, édesre intenzívebben reagál.
A fogszuvasodás megelőzésének tehát két kulcsfontosságú lépése a megfelelő, alapos tisztítás, valamint a szénhidrátfogyasztás gyakoriságának csökkentése.
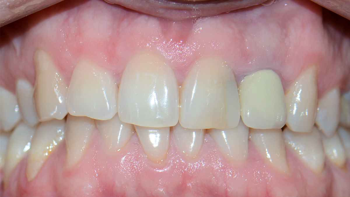
Milyen anyagból és hogyan készül a tömés?
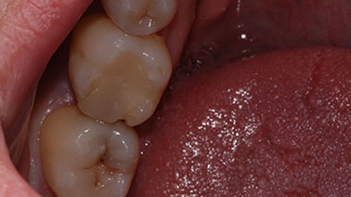
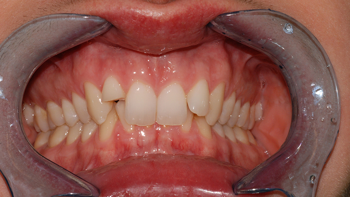
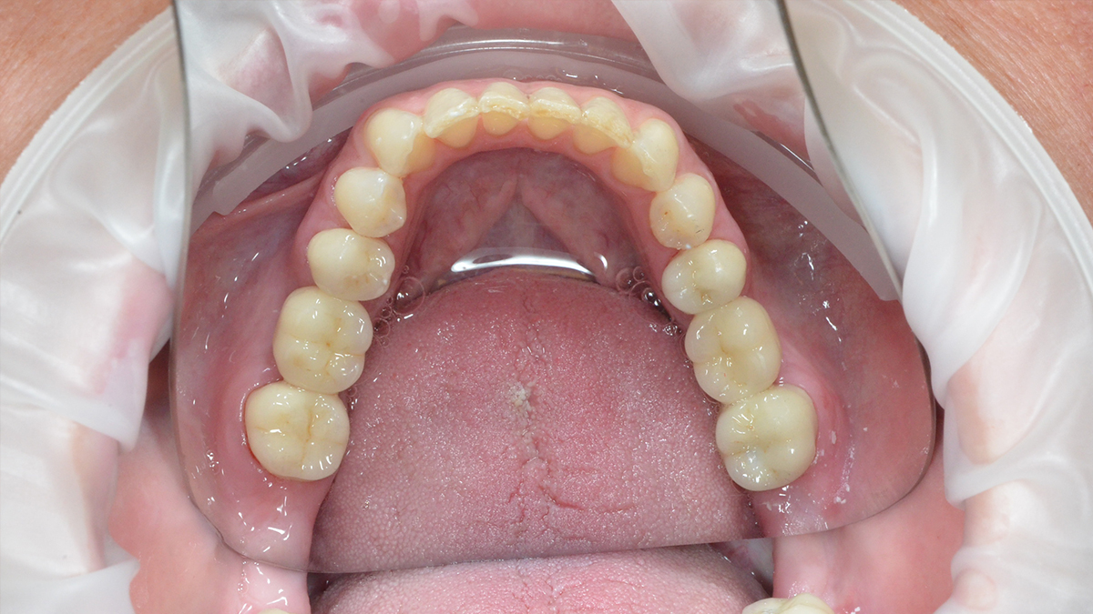
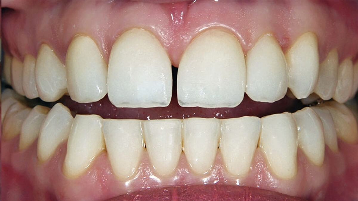
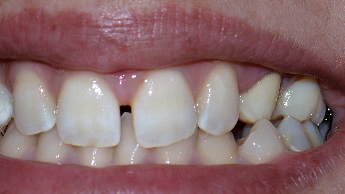
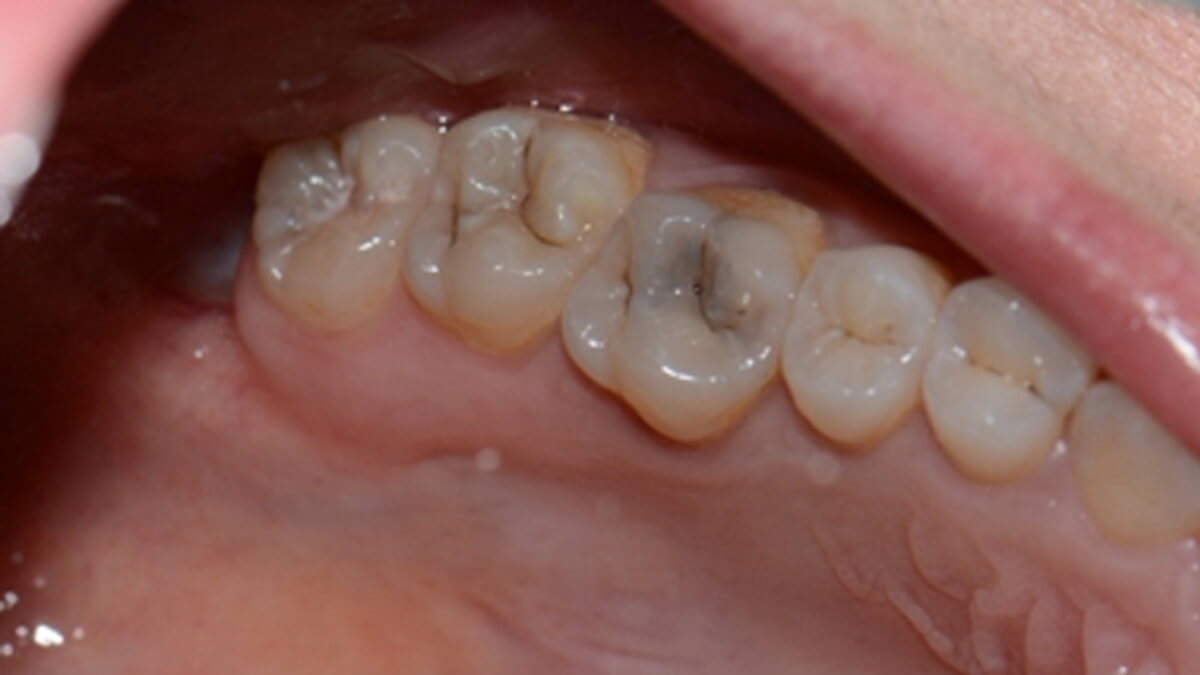
Általában ha a fognak csak egy kisebb része szuvas, a hiányzó rész kitisztítás után tömőanyaggal pótolható. A töméskészítést helyi érzéstelenítésben végezzük, egy alkalmat vesz igénybe. A tömőanyag egy speciális műanyag, kompozit, amely mind színében, mind fizikai tulajdonságaiban nagymértékben hasonlít a természetes foghoz, ezért alkalmas tartós és esztétikus tömések készítésére. Töméskészítés során a gyurmaszerű anyagot kis adagokban helyezzük az üregbe, majd az egyes rétegeket speciális lámpával világítjuk meg, melynek hatására megszilárdulnak. A tömés elkészültével az anyag kötése befejeződik, a fog terhelhető.
Milyen fogakba készülhet kompozittömés?
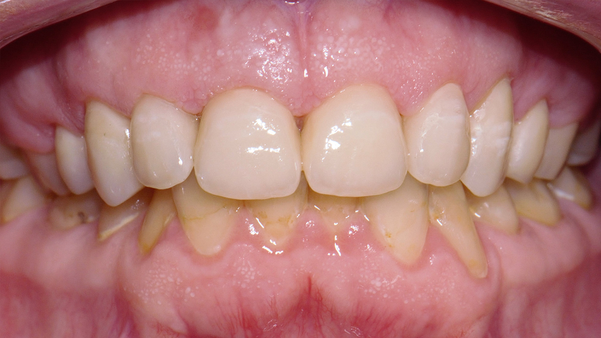
A tömőanyag tulajdonságaiból adódóan ma már, ha az üreg nem túl nagy, minden fogcsoport tömésére alkalmazható. Rágófogakban képes helyreállítani a funkciót, azaz egy erős, a rágóerőkkel szemben ellenálló tömés készíthető, frontfogakba (metszőfogak) pedig készülhet olyan esztétikus, észrevehetetlen tömés, mely kedvezően befolyásolhatja megjelenésünket, arckarakterünket.